
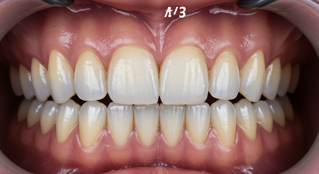
치아성형 아닌 치아복구, 무엇이 진짜 해답일까?
치과 치료에서 흔히 비교되는 무삭제라미네이트와 미니쉬는 이름만 비슷할 뿐 실제로는 목적과 치료 방식, 재료와 철학까지 완전히 다릅니다. 무삭제라미네이트는 광고 키워드 성격이 강하지만, 미니쉬는 손상된 치아를 복구하는 치료 솔루션으로 임상 데이터를 통해 검증되었습니다. 두 시술의 차이를 이해하면 내 치아를 더 건강하게 지킬 수 있는 선택이 무엇인지 알게 됩니다.
무삭제라미네이트의 탄생 배경과 한계

무삭제라미네이트는 치아 삭제 부담을 줄이고 싶다는 대중 심리를 자극한 용어입니다. 그러나 실제로는 치아 표면을 다듬지 않고 세라믹을 붙이기 때문에 접착력 문제와 탈락 위험이 있습니다. 게다가 치아 크기가 커지고 미적인 불균형이 발생할 가능성도 큽니다.
미니쉬의 목적: 치아복구 솔루션

미니쉬는 단순한 심미 목적이 아니라 마모, 충치, 파절 등 손상된 치아를 본래의 건강한 상태로 복구하는 데 초점을 맞춥니다. 건강한 치아를 불필요하게 깎지 않고, 복구된 치아가 주는 자연스러운 아름다움은 부가적인 결과물일 뿐입니다.
적용 범위 차이: 앞니만 가능 vs 모든 치아 가능

무삭제라미네이트는 앞니 위주로만 시술할 수 있으며, 치아 크기를 줄이거나 배열을 교정하는 데는 한계가 있습니다. 반대로 미니쉬는 앞니는 물론 어금니까지 적용할 수 있어 저작 기능까지 복구할 수 있습니다.
치료 안정성과 내구성
무삭제라미네이트는 깨짐과 탈락이 빈번할 수 있습니다. 반면 미니쉬는 오랜 임상 경험을 통해 내구성이 입증되었으며, 특수 블록 재료를 사용해 자연치아와 유사한 강도와 탄성을 유지합니다.
역사와 검증된 임상 데이터

무삭제라미네이트는 교과서에도 없는 용어로 학문적 근거가 부족합니다. 반면 미니쉬는 2009년부터 연구와 임상을 축적해왔고, 현재까지 16만 건 이상의 임상 데이터를 확보했습니다. 이는 장기간의 안정성을 뒷받침하는 중요한 근거입니다.
시술자격과 의료진 교육
무삭제라미네이트는 특별한 테크닉 없이 누구나 붙일 수 있는 방식입니다. 하지만 미니쉬는 전문 교육 과정을 수료한 치과의사만 시술할 수 있습니다. 현재까지 국내외 45개 프로바이더에서 시행되고 있으며, 글로벌 코스로 확산 중입니다.
보증제도와 신뢰성
무삭제라미네이트는 보증 기간이 짧거나 불확실합니다. 일부는 과장된 10년 보증을 내세우기도 하지만 근거가 부족합니다. 반면 미니쉬는 장기 추적 데이터를 근거로 최대 10년 보증서를 발행하며, 치아 모델을 제공해 변화 과정을 직접 확인할 수 있도록 합니다.
글로벌 확장과 언론의 조명

무삭제라미네이트 관련 보도는 개별 치과 홍보 성격이 강합니다. 그러나 미니쉬는 포브스코리아, 조선비즈, CEO& 등 유력 언론에서 집중 조명하며 치과산업의 새로운 패러다임으로 소개되고 있습니다.
결론: 건강한 치아를 위한 선택
치과 치료의 목적은 단순히 겉모습이 아니라 기능과 건강입니다. 무삭제라미네이트는 단기적인 미용 효과에 그칠 수 있지만, 미니쉬는 치아 본연의 기능과 아름다움을 함께 복구하는 솔루션입니다. 검증된 임상 결과와 글로벌 확장을 통해 그 가치를 증명하고 있으며, "내 치아 평생쓰기"라는 시대적 요구에 가장 부합하는 선택입니다.
'유용 정보' 카테고리의 다른 글
| 알부민 효능 영양제, 회복관리 핵심 포인트 총정리 (1) | 2025.08.25 | 
|---|---|
| SK텔레콤 T멤버십 고객감사제, 도미노피자 반값 찬스 (1) | 2025.08.24 | 
| 유디트 잇오프 효과: 원리, 부작용, 마케팅 활용 완벽 분석 (4) | 2025.08.22 | 
| 구글 드라이브 다운로드 오류 해결: 원인, 해결, 용량 관리 완벽 가이드 (1) | 2025.08.22 | 
| 급체 증상 원인과 대처, 피해야 할 음식과 도움이 되는 음식 (0) | 2025.08.22 |